Zähneknirschen im Schlaf – Warum Stress der heimliche Auslöser ist und was wirklich hilft
Ein guter Morgen beginnt entspannt. Wenn Kiefer, Nacken oder Zähne nach dem Aufwachen spannen, steckt dahinter oft Zähneknirschen im Schlaf. Bei dentique begegnen wir diesem Thema mit einfühlsamer Zahnmedizin, präziser Diagnostik und klaren, wirkungsvollen Lösungen – für ruhigen Schlaf, gesunde Zähne und ein gelöstes Lächeln.
Woran Sie Zähneknirschen erkennen
Druck- oder Spannungsgefühl im Kiefer nach dem Aufwachen
Empfindliche, abgenutzte oder „kürzer“ wirkende Zähne
Kopfschmerzen, Ohrdruck, Nackenverspannungen
Knacken oder Reiben im Kiefergelenk, eingeschränkte Mundöffnung
Hinweise von Partner:innen auf nächtliche Geräusche
Warum Stress den Kiefer arbeiten lässt Stress sucht sich Wege – oft unbemerkt über die Kaumuskulatur. Neurobiologische Prozesse erhöhen nachts die Muskelaktivität, Anspannung entlädt sich im Schlaf. Die Folge: Pressen und Reiben der Zähne. Wird dieser Kreislauf nicht unterbrochen, können Beschwerden zunehmen und die Zahnsubstanz Schaden nehmen.
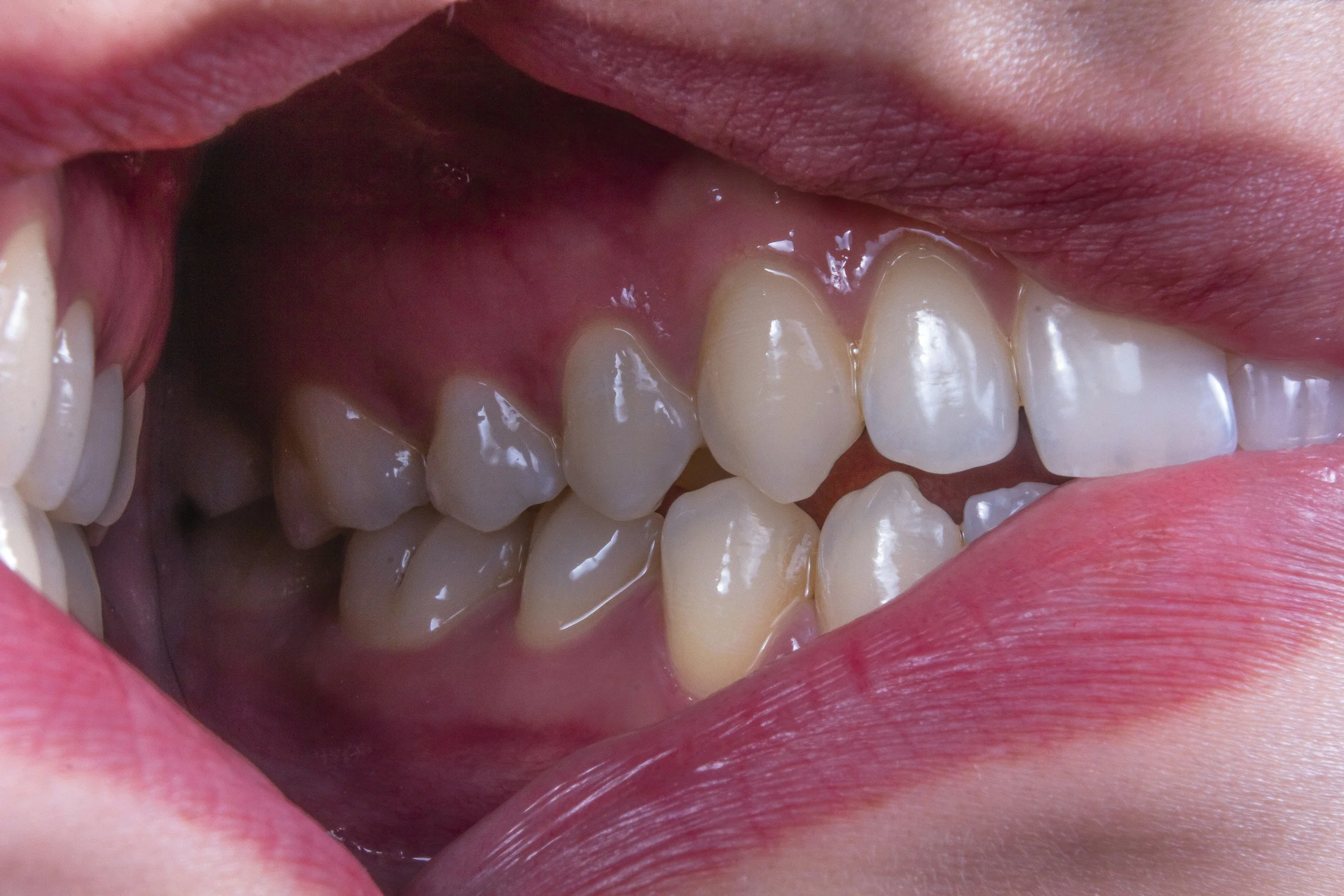
Was Zähneknirschen anrichten kann
Zahnabrieb, feine Risse, Frakturen an Füllungen oder Keramik
Überlastung des Zahnhalteapparats bis hin zu Lockerungen
Reizungen im Kiefergelenk, craniomandibuläre Dysfunktion (CMD)
Muskelverspannungen mit Ausstrahlung in Kopf und Nacken
Unruhiger Schlaf und Tagesmüdigkeit
Was wirklich hilft bei Zähneknirschen – unser Behandlungskonzept
Präzise Diagnostik
Ausführliche Anamnese, Funktionsanalyse des Kiefers, digitale Abformung und, wenn sinnvoll, 3D‑Röntgen. So erkennen wir Ursachen und Ausmaß zuverlässig.Individuelle Knirscherschiene
Maßgefertigte Schienen schützen die Zähne, entlasten Kiefergelenke und beruhigen die Muskulatur – angenehm zu tragen und passgenau gefertigt.CMD‑Therapie und Bissfeinanpassung
Schonende Justierungen, gezielte Übungen und bei Bedarf Zusammenarbeit mit Physiotherapie unterstützen eine harmonische Funktion.Sanfte Wiederherstellung
Abgenutzte Kanten, Risse oder defekte Versorgungen beheben wir behutsam – von minimalinvasiven Füllungen bis zur passgenauen Keramik.Ganzheitliche Begleitung
Praktische Impulse zu Stressreduktion, Atemtechnik und Schlafhygiene helfen, den Auslöser im Alltag zu entschärfen.
Sanfte Unterstützung für den Alltag
Entlastungsposition: Lippen locker geschlossen, Zunge am Gaumen, Zähne kontaktfrei
Kurze Pausen für Kiefer und Nacken, Wärmeanwendungen am Abend
Abends leichter essen, Koffein und Alkohol reduzieren
Feste Schlafroutine, Bildschirmpause vor dem Zubettgehen
Ausreichend trinken; nach den Mahlzeiten zuckerfreien Kaugummi für mehr Speichelfluss
So läuft Ihr Termin ab
Ankommen und Zuhören: Sie schildern, was Sie spüren – wir fragen gezielt nach
Funktionscheck und Bildgebung: Schonend, präzise, nachvollziehbar erklärt
Individueller Plan: Optionen, Ablauf und Ziele in Ruhe festlegen
Versorgung: Schiene, Feineinstellung und, wenn nötig, behutsame Restauration
Nachsorge: Kontrolle, Übungen, Prophylaxe – für nachhaltig gute Ergebnisse
Für wen eine Abklärung in München zum Thema Zähneknirschen sinnvoll ist
Wiederkehrende Morgenkopfschmerzen oder verspannter Kiefer
Sichtbarer Abrieb, feine Risse oder Empfindlichkeiten an Zähnen
Kieferknacken, eingeschränkte Mundöffnung, Ohrdruck
Hinweise auf nächtliches Knirschen oder Pressen
Ihre Konsultation bei dentique In unserer Wohlfühlatmosphäre am Maximiliansplatz – zwischen Altstadt Lehel und Maxvorstadt – nehmen wir uns Zeit, erklären klar und begleiten Sie mit Ruhe und Präzision. Gemeinsam finden wir eine Lösung, die sich gut anfühlt, Ihre Zähne schützt und Ihren Schlaf spürbar erholsamer macht.
Kontaktieren Sie uns jetzt – Ihr Lächeln ist bei uns in besten Händen.
📞 Telefon: 089 244 15 16 80
📧 E-Mail: office@dentique.dental
Ihre Zahnärzte für Altstadt-Lehel, Maxvorstadt und alle, die in München eine Zahnarztpraxis mit Wohlfühlatmosphäre erleben wollen.
